Are you looking for a Professional Dentist in Cancun?
Request a Price Quote!
When you drink coffee, soft drinks, or have the bad habit of smoking, in addition to bad brushing habits, you may not be aware of the enormous harm that you are causing your teeth. The consequences are yellowish, opaque teeth and a lackluster smile, our team of dentists in Cancun have an effective and accessible solution utilizing the latest technology to make your smile shine.
Photo laser whitening, commonly known as laser whitening, and night whitening are cosmetic dental procedures which help to eliminate amber colored spots that blemish your smile. Unfortunately, and without realizing it, you may already be accustomed to seeing these spots reflected in the mirror, unaware of the existence of these wonderful whitening alternatives.
Laser whitening consists in applying a hydrogen peroxide (25%) based gel onto the teeth, whose effect is activated at the moment of applying light that is emitted by a photo laser which produces less than 400 nm. The result: stain-free, whiter, and brighter teeth!
In one hour you will have cleaner and whiter teeth!
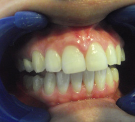
Laser Whitening Results


At the first appointment, the patient’s teeth are examined so that custom fitted mouth guards may be made. These mouth guards are a kind of tray that cover the teeth and are where the whitening agent, a carbamide peroxide base, is placed. The mouth guards will be used overnight, or for at least six hours, for ten to twelve nights, with results visible after the third day. Also included with this procedure is a regular dental cleaning in our dental clinic.
The duration of the night whitening treatment will depend on how stained your teeth are. For example, yellowish teeth are easier to whiten than grayish teeth, and younger teeth also whiten faster. This treatment should last approximately from 10 to 14 days.
This technique is applied at home using the mouth guards that are custom fitted specifically for each patient, always under strict medical supervision.
¿Need a price quote? ¡Contact Us!Our team of professional dentists in Cancun will contact youClick Here!
We already mentioned that this may be due to drinking coffee, and/or soft drinks excessively, smoking, or bad brushing habits. In addition to factors such as age or certain medications such as tetracycline, which can cause your teeth to turn a grayish color.
This technique is performed in a dentist’s office or a dental clinic, by trained professionals. At Dental Evolution in Cancun we have the technology necessary to carry out this procedure, producing wonderful results.
How many dental appointments are necessary to complete my treatment?It is possible that you may need a dental cleaning first, to remove plaque, and thus leave your teeth prepared for a second consultation during which the whitening treatment is performed. The laser whitening itself is done in a single appointment, but it always depends on each particular case.
Laser whitening gives you immediate results, you will leave the clinic with cleaner, whiter, and brighter teeth.
Duration varies from person to person, but usually a laser whitening treatment lasts approximately two years.
None of our whitening treatments will damage your teeth, affect their enamel, or wear them down. Their purpose is to eliminate any discoloration that is caused over time due to diet, habits, age, medications, etc.
In our dental clinic, these dental treatments are realized under the supervision of a dental specialist, avoid anyone who performs this procedure with light that produces heat, this can affect your teeth negatively, damaging them.
Considering that in one hour to one hour and a half your smile will be radiant after a tooth whitening treatment, and taking into account that expensive is something that does not justify its price, we offer a fair price for our patients, helping them to create that beautiful smile that is an investment in that which is most valuable, themselves.
At Dental Evolution we have the most accessible prices in the market, contact us, our prices will make you smile.
My experience with Dental Evolution was amazing and I just love it because the doctor is so gently, I almost fall asleep because he did a great job, I recommend them for everybody because they just work perfect.
Helen from Canada (19, nov)
From Cancun:
(998) 887-85-61
(998) 884-86-81
(998) 172-40-68
Toll Free:
From Canada
1-844-214-2169
Toll Free:
USA & Canada
1-866-218-0980
84-447-8793
Cosmetic Dentistry
Dental Implants
Dental Emergency
Other Dental Specialties
- Pediatric Dentistry
All rights reserved Dental Evolution 2015 - Go Brand Studio