Walk-ins welcome! - English spoken

American Academy of Implant Dentristry

From Cancun:

WhatsApp:

Toll Free:

From Canada

(998) 887-85-61

(998) 884-86-81

(998) 172-40-68

Toll Free:

USA & Canada

1-844-214-2169

1 866-218-0980

84-447-8793

THERE ARE HUNDREDS OF LANGUAGES IN THE WORLD AND A SMILE

SPEAKS THEM ALL

Are you looking for a Professional Dentist in Cancun?

Request a Price Quote!

Field is required

Home / All on 4 Dental Implants /

All on-4 dental implants is recommended for people who need to rehabilitate one or both jaws, due to tooth loss, and who would like to replace their traditional denture with a more efficient, hygienic, natural, and comfortable alternative.

All on 4 Dental Implants in Mexico - FIXED NOT REMOVABLE

The most Aesthetic look and realistic feel after loosing teeth

all-on-4 in mexicoWhy consider Dental Implants?

 

Choosing among ALL ON 6 or ALL ON 4 dental implants is a decision that our specialized dentists recommend at Dental Evolution in Cancun on a case by case basis, taking into account the patient’s physical examination, all relevant test results and only after explaining the process and differences of each option to the patient.

 

This procedure provide greater stability to patients who have a lower bone density and whose chewing is more constant and powerful, while All on-4 is recommended for patients who have a better maxillary bone density.  Either procedure is recommended when the patient wishes to obtain stability with their new set of teeth.  This dental implant system, that utilizes pillars, will support a prosthetic bridge that is screwed or fixed securely in the mouth, giving the patient the possibility and freedom to bite and chew with more confidence.

 

 

 

Another huge benefit provided by this procedure is in savings, because with traditional dental implants a single dental implant is needed for each tooth, which would create a large difference in the price.

 

 

In our Cancun dental clinic, factors such as facial features, masticatory or chewing force, a low or high smile line, a hyperactive lip which can cause a gummy smile, bone resorption, the general state of health, and the emotional situation of the patient, among other factors, are all thoroughly studied and taken into account when choosing the procedure that best adapts to the needs and expectations of our patients. At Dental Evolution in Cancun we have a full and radiant smile waiting for you at a very affordable cost.  During your next vacation be sure to visit us.

 

 

ALL ON 4 in Dental Evolution Cancun Clinic:

In Dental Evolution clinic we only use the best materials and also the best brands currently in the market. Nobel Biocare and the active system. The reasons why we use these brands are simple; they offer a 10 year warranty and you can use this warranty worldwide.

The All On Four (Fixed Hybrid Denture):


Requires 4 Nobel Biocare implants

*It has a Titanium bar, which holds a full acrylic teeth structure or hybrid porcelain teeth structure.

 

*This technique is not removable. And it has the most realistic feel and aesthetic look possible.

 

Procedure

There are two stages; First is the surgical phase and secondly the restorative phase.

 

First Stage: “SURGICAL PHASE” the first visit to Cancun ( 3-6 days)

 

1.- Complete Dental Evaluation , x-rays and 3D SCAN


  


2.-
Dental Plan




3.-
Mouth impressions


  

4.-
Guided Surgery ( not swelling , painless , not bleeding)

Based on the 3d SCT (3 dimensional study) ,
Dr. David Enriquez with his Nobel Clinician software and the laboratory will make a customized guard named surgical template , this is designed to ensure high precision placement of the implant screw and the best result after surgery for the patient.


  

5.-
Dental implants placement WITH SURGICAL TEMPLATE

        

6.- Temporary denture (ordinary dentures)




  • Antibiotics and anti-inflammatory will be prescribed.
  • You will need to wait a period of at least 6 months for the implant to heal and integrate into your jawbone.

Once you´re healed, you return to our Specialty Dental Clinic to begin with the 2nd stage.

 

Second Stage: “RESTORATIVE PHASE” 2nd visit to Cancun (6 days)

 

Is quiet simple we verify everything healed properly and that your implants are ready to be mounted.

 

7.- Capture Vertical Dimension of Occlusion for Restoration /smile line


   

8.-
Wax try in!

 


9.-
Laboratory

 

   


10.-
HYBRID TEETH STRUCTURE – SCREW FINAL FIXED PROSTHESIS

 

    

 

 

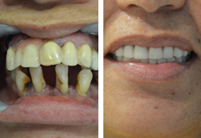
All on-4 Dental Implants Before and After Photos

Benefits of Dental Implants in Mexico.

  • They are an alternative to traditional prosthesis, which can cause damage to the rest of the teeth through normal, daily use.
  • Removable dental prosthesis can be secured by dental implants, because they provide excellent support for crowns, bridges, and dentures.
  • There is no bone loss thanks to the osseointegration that stimulates the alveolar bone through chewing.
  • Are very comfortable, creating the same feeling as natural teeth, since they develop a compensation mechanism (proprioception) around the implant.
  • Thanks to the biologically compatible material with which dental implants are made (titanium), the union of the implant with the bone (osseointegration) is possible, and rejection is extremely rare.
  • They give a youthful appearance because they prevent retraction of the immediate bone area.
  • They are designed to last a lifetime, even beyond.
  • They improve self-esteem because they look very natural and pleasing to the eye.
  • Simple activities that used to cause distrust and insecurity can be overcome, since with dental implants you can eat anything, smile, and speak naturally without fear that your teeth might slip out of place.
  • Since dental implants are integrated with the jaw bone, they help to maintain its health.
  • Do not affect the original teeth that are adjacent to the ones that will be replaced, as bridges and removable teeth do, because they attach to them, wearing them out.
  • You are able to enjoy the taste of food that may seem diminished through the use of traditional dentures, because the sensitivity of the gums and palate remain the same.
  • Through proper dental hygiene, a good brushing technique, the use of dental floss, and a good mouthwash, it is very easy to keep dental implants clean and extend their life, in contrast to conventional dentures that are constantly accumulating small pieces of food and adhesive cement between the denture and the gums.
  • For those patients who need to replace a single tooth and have healthy adjacent teeth, a dental implant can be used instead of a bridge, which consists in the merging of three crowns.
dental implants testimonial

Testimonials

Our patient experience in dental treatments

dental implants testimonial

My experience with Dental Evolution was amazing and I just love it because the doctor is so gently, I almost fall asleep because he did a great job, I recommend them for everybody because they just work perfect.

Helen from Canada (19, nov)

From Cancun:

(998) 887-85-61

(998) 884-86-81

WhatsApp

(998) 172-40-68

Toll Free:

From Canada

1-844-214-2169

Toll Free:

USA & Canada

1-866-218-0980

84-447-8793

All rights reserved Dental Evolution 2015 -  Go Brand Studio

Desktop Version