Are you looking for a Professional Dentist in Cancun?
Request a Price Quote!
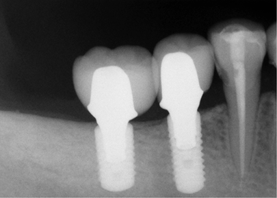
Replace teeth that have been lost with the passage of the years restoring functionality and aesthetics to your mouth.A dental implant is a cylinder shaped dental root manufactured alloplastic material (usually titanium) which is surgically implanted under the gums inside the maxillary or mandibular bone; once placed and osseointegrated, the dentist will place upon them crowns or fixed bridges that will replace the teeth lost, then the implant helps us provide retention and support a fixed or removable dental prosthesis.
Consists on the placement of the dental implant, osseointegration (period of two or three months), and their subsequent rehabilitation (placement of the prosthesis).
This system consists of leaning into two or three and sometimes even on 4 dental implants to hold all of the prosthesis or implant a complete denture which is retained by those 4 implants. This procedure is recommended to patients who for lack of economic opportunities or for reasons of age or time, cannot be a process longer and more complex, as it would be to implement more roots and hold the denture more pillars of the implant.
Is a procedure that allows to recover the missing parts in a single session, in which dental implants are placed and are rehabilitated with their prostheses, are very few cases in which this procedure is indicated, once received this treatment is very important to note a soft diet.

The Dental implant merges with the bone of the jaw thus creating a stable support for the fake teeth, dentures, bridges and individual crowns placed upon implants will not move inside the mouth, providing comfort and safety when it comes to chewing and speaking.
With dental implants, it is not necessary to wear down adjacent teeth so that they hold to the replacement teeth, do not produce irritations, nausea nor must be attached to teeth on both sides of the gap as it usually happens with prostheses or common bridges.
This depends on oral hygiene, care and periodic visits to the dentist, it is worth mentioning that molars, due to tension and increased wear and tear, usually last a little less than the frontal teeth, but in general and under the above mentioned conditions a Dental Implant usually lasts between 10 and 20 years.
In Dental Evolution in Cancun, our specialists evaluate your particular case by taking photographic records, prints, lateral x-ray of the skull and orthopantomography, enabling us to study the craniofacial structure and your maxillomandibular relationship, in order to determine your oral health, since it is very important to have healthy gums and adequate bone that supports the Dental Implant.

My experience with Dental Evolution was amazing and I just love it because the doctor is so gently, I almost fall asleep because he did a great job, I recommend them for everybody because they just work perfect.
Helen from Canada (19, nov)
From Cancun:
(998) 887-85-61
(998) 884-86-81
(998) 172-40-68
Toll Free:
From Canada
1-844-214-2169
Toll Free:
USA & Canada
1-866-218-0980
84-447-8793
Cosmetic Dentistry
Dental Implants
Dental Emergency
Other Dental Specialties
- Pediatric Dentistry
All rights reserved Dental Evolution 2015 - Go Brand Studio