Walk-ins welcome! - English spoken

American Academy of Implant Dentristry

From Cancun:

WhatsApp:

Toll Free:

From Canada

(998) 887-85-61

(998) 884-86-81

(998) 172-40-68

Toll Free:

USA & Canada

1-844-214-2169

1 866-218-0980

84-447-8793

THERE ARE HUNDREDS OF LANGUAGES IN THE WORLD AND A SMILE

SPEAKS THEM ALL

Are you looking for a Professional Dentist in Cancun?

Request a Price Quote!

Field is required

Home / Before & After Gallery / Dental Implants With Crown

Dental Implants with Crown Photos

A reason to smile again

All the cases shown below were performed and completed at our clinic with the help of our labs. If you have any questions, contact us! Toll Free from USA or Canada at 1-866-218-0980 .

Back to Galleries

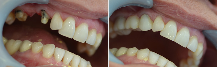
Case: Dental implants with crown

 

Need a quote? Contact Us!

A team of professional dentists in Cancun will contact you

From Cancun:

(998) 887-85-61

(998) 884-86-81

WhatsApp

(998) 172-40-68

Toll Free:

From Canada

1-844-214-2169

Toll Free:

USA & Canada

1-866-218-0980

84-447-8793

All rights reserved Dental Evolution 2015 -  Go Brand Studio

Desktop Version