Are you looking for a Professional Dentist in Cancun?
Request a Price Quote!

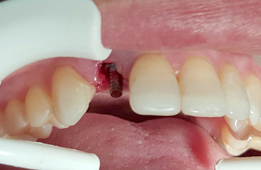
A dental implant is a cylinder shaped dental root manufactured of alloplastic material (usually titanium) which is surgically implanted under the gums into the jawbone; once osseointegration (fusion to the bone) has taken place the dentist can then attach crowns or fixed bridges to the implant, thus replacing the lost teeth and providing retention and support for the fixed or removable dental prosthesis.

This procedure is not removable.
And offer a permanent tooth replacement alternative for patients who have lost many teeth all teeth being supported by 4 dental implants.

When someone has lost all of their teeth, unfortunately they find themselves in need of what are commonly called traditional dentures. It is very common to hear how bothersome and stressful dentures are for some people, that is why at Dental Evolution, dental clinic in Cancun we offer you a wonderful alternative to discover a relaxed and comfortable life with your teeth and dentures.

The loss or resorption of bone from the jawbone can be restored using bone grafts. Bone grafting is a surgical procedure that involves grafting bone to reconstruct the jawbone below the gum line where the teeth attach to it. At Dental Evolution in Cancun we perform this surgery with great success. Call us!

A Sinus Lift is a quick and safe solution through which it is possible to install osseointegrated dental implants, resulting in better looking and more functional teeth and dentures.
My experience with Dental Evolution was amazing and I just love it because the doctor is so gently, I almost fall asleep because he did a great job, I recommend them for everybody because they just work perfect.
Helen from Canada (19, nov)
From Cancun:
(998) 887-85-61
(998) 884-86-81
(998) 172-40-68
Toll Free:
From Canada
1-844-214-2169
Toll Free:
USA & Canada
1-866-218-0980
84-447-8793
Cosmetic Dentistry
Dental Implants
Dental Emergency
Other Dental Specialties
- Pediatric Dentistry
All rights reserved Dental Evolution 2015 - Go Brand Studio